fbpx

Oral Submucous Fibrosis

Oral Submucous fibrosis

Oral Submucous fibrosis

               Oral submucous fibrosis is a precancerous condition and an idiopathic disorder that is characterized by abnormal collagen deposition, juxta epithelial cell inflammation and progressive fibrosis of submucosal tissues. As a result of progressive proliferation, patient experiences muscle trismus in the oral cavity leading to limited mouth opening or difficulty in mouth opening. It is mostly seen in people with tobacco or areca or betel nut chewing.

 

Causes

           The main cause of oral submucous fibrosis (OSMF) is areca nut or betel nut. Areca nut or betel nut contains tannin and alkaloids such as arecoline, arecaidine, guvacine, guvacoline. Arecoline is the main causative agent. Arecoline induces collagen deposition by hydrolysis with slaked lime added to areca nut while chewing. The other causes for oral submucous fibrosis are iron and vitamin deficiency along with tobacco chewing.

 

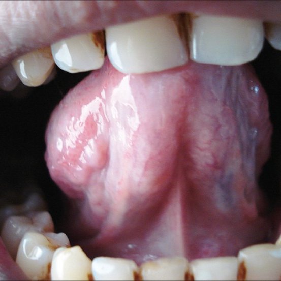
Symptoms and signs

               The main symptom of oral submucous fibrosis is leathery appearance of oral mucosa (soft tissue lining the oral cavity). It begins from posterior or backmost part behind the molars and gradually extends towards the lip. The other signs are xerostomia (dry mouth or limited salivation), multiple ulcerations, burning sensation of the mouth, decreased movement of soft palate, pigmentation of lips and mucosa, thinning of lips, pain in the ear and deafness, inability to eat and difficulty in mouth opening and speech.

Classification

         Oral submucous fibrosis is classified into three stages based on the symptoms.

Stage 1: stomatitis: onset of multiple ulcers in the buccal mucosa.

Stage 2: fibrosis: appearance of leathery patches in the posterior part of oral cavity. The patch extends towards the lip like palpable fibrous bands with a marble like appearance resulting in muscle trismus.

Stage 3: leukoplakia, speech and hearing defects.

        Based on the mouth opening and surgical management, oral submucous fibrosis is classified into

Group 1: Earliest stage: ulcers with no restricted mouth opening. The interincisal distance( the distance between tip of upper incisor to the lower incisor when mouth is opened as much as possible) should be greater than 35mm.

Group 2: Interincisal distance is between 26-35mm.

Group 3: Moderately advanced case with limited mouth opening, fibrotic bands visible and interincisal distance is 15-25mm.

Group 4A: Trismus is severe and interincisal distance is less than 15mm. extreme fibrosis of buccal mucosa, inability to open the mouth, eat and speech defects.

Group 4B: disease is in the most advanced stage with premalignant and malignant changes in the oral mucosa.

Treatment:

           Treatment of oral submucous fibrosis is based on the stages and symptoms. The earlier it is diagnosed, much better will be the prognosis. The earlier stages of disease need only a basic treatment such as cessation of habit. It is always better to consult a dentist if any of the mentioned symptoms occur. The primary treatment in both the initial and final stages of the disease involve the following

  • Cessation of the habit (tobacco chewing, smoking, alcohol)
  • Abstention of taking hot fluids like tea and coffee.
  • Avoid use of spicy foods including chillies.
  • Maintaining proper oral hygiene.
  • Taking foods rich in vitamin A, B complex and C and iron. If difficulty in eating, supplements are mandatory.
  • Rounding of sharp cusps and edges of the teeth and extraction of third molars if any by the dental surgeon.

In moderate to severe cases, biopsy and other clinical parameters determines the treatment. Surgical intervention is mostly recommended in severe cases.